I had ten veneers placed on my upper teeth and the same number placed on my bottom. During the diagnostic stage, I was told everything was fine and there were no real risks involved. Since the procedure, I’ve had a lot of pain. My dentist made a few height adjustments, but that did not seem to help. Then, two of the teeth developed an abscess and, when he did the x-rays, it showed my nerves have died, even though they were fine before. Now I have had to have root canal treatments. I’m still in pain and worried more of my nerves will die. My dentist said he’s never had this happen with veneer crowns. What is going on?
Jayla
Dear Jayla,
The first thing I am wondering about is whether you actually received dental crowns instead of porcelain veneers. There are a couple of things that make me things this. First, you called them veneer crowns. That is not a thing. Either you have porcelain veneers or you have dental crowns. There is not a combination. A second inconsistency here is the height adjustments that were made. That is something done with dental crowns. Finally, it is the damage to the nerves.
The Difference in Preparation between Crowns and Veneers

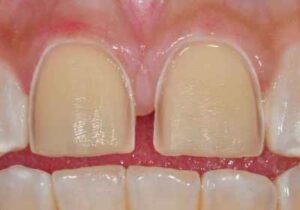
When a tooth is prepared for porcelain veneers, there is hardly any of the tooth structure removed. Here is an example in the image above. Notice only the surface is affected. Now contrast this with the image below.

Notice with this tooth, much of the tooth structure had to be removed. It is a much more aggressive preparation and your nerves are at a greater risk as a result. I think this is the treatment you received.
One way to tell is by how far around the tooth your restoration is. With porcelain veneers, it just covers the very front of your teeth and will hug the sides slightly. But, with porcelain crowns, the restoration goes around your entire tooth, including the back.
If your dentist told you that you were getting porcelain veneers, but then gave you porcelain crowns, that is unethical. Plus, if the only reason for the restorations was a smile makeover, porcelain veneers are what you would do— not dental crowns. To be honest, I would tell your dentist he needs to cover the cost of the root canal treatments. I’m sorry this happened to you.
This blog is brought to you by New Orleans Cosmetic Dentist Dr. Duane Delaune.
Click here to learn about our free virtual smile makeover consult.