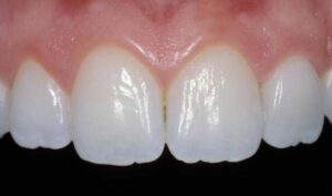
Last December, my dentist whitened my teeth with Zoom. In February 2021, I got four dental crowns on my front teeth. Last month, I noticed discoloration in the crowns. And now, they are turning yellow. I am not a heavy coffee drinker. I drink coffee two or three times a week. I’m disappointed that I went through whitening my teeth and getting crowns to match, but now the crowns are turning yellow. I think I know the answer, but I must ask. Is the color change reversible? What is causing it? – Thanks for your help. Avery from SC
Avery,
We are sorry to hear about your experience with your new crowns turning yellow.
Why Do New Dental Crowns Turn Yellow?
When new dental crowns turn yellow, several factors might be responsible, including damage during a dental cleaning, surface damage when you received the crowns, and the composition of your crowns.
- Damage during dental cleaning – Sometimes, a dental hygienist can mistakenly use chemicals that damage porcelain restorations.
- Sodium bicarbonate – If a hygienist uses a Prophy Jet or another power cleaning instrument on porcelain crowns or veneers, sodium bicarbonate (a chemical tooth-cleaning substance) can remove the glaze. Glaze damage will leave your crowns at risk for staining.
- Acidulated fluoride – This chemical substance etches away glaze on porcelain restorations.
- Damaged crown surface – Sometimes, when a dentist must adjust the front surfaces of crowns, they can damage the glaze. Or the laboratory may not have glazed the crowns properly.
- Crown composition – At times, yellowing crowns are dental composite instead of porcelain. You can verify with your dentist whether you have porcelain or composite crowns
Can You Lighten Dental Crowns?
Dental crowns are colorfast, and a dentist cannot change the color. An advanced cosmetic dentist can make new crowns and achieved an expert match to your natural teeth after Zoom whitening.
Dental Crowns Second Opinion

We recommend that you look for an advanced cosmetic dentist and schedule an appointment for an exam. The dentist will examine your crowns and determine why they are yellowing.
Dr. Duane Delaune, a cosmetic dentist in Metairie, LA, sponsors this post.